If you are looking for dental Lumineers in Pleasanton please contact Gateway Dental Care and Dr. Francine Kitagawa. For patients with stained, chipped, yellow, discolored, or damaged teeth, Lumineers are an effective cosmetic solution for you to consider. If you are looking to find out more about Lumineers in Pleasanton, what the process entails, and what our prices are, you should contact us for a free consultation. In addition to informing you about the procedure, we guarantee the best looking finish when you choose us for Lumineers.
Only 2 Visits For Lumineers
A chipped front tooth, extremely yellow teeth, or misaligned teeth can put a damper on your smile. Lumineers are a minimally invasive cosmetic veneer procedure that will greatly improve your smile. Lumineers don’t require drilling or numbing and can be properly applied in only two visits to Gateway Dental Care. Come in to see if Lumineers are right for you. We always welcome new patients.
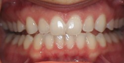
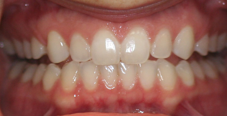
- Lumineers – Before
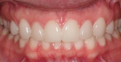
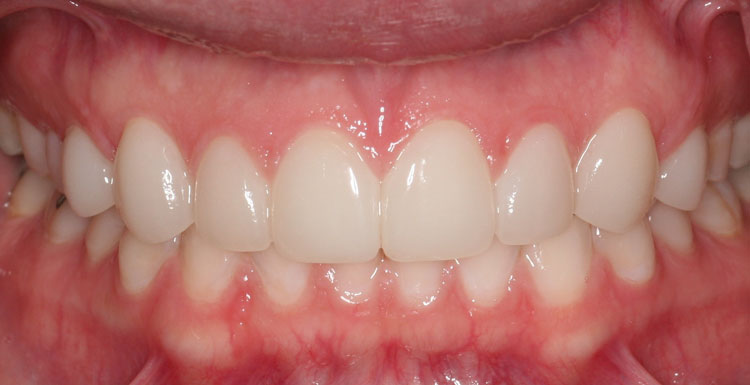
- Lumineers – After
- Lumineers – Before
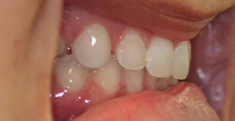
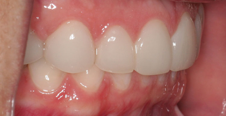
- Lumineers – After
Personalized Dental Care In Pleasanton
When you choose us for Lumineers, you will receive personalized care and treatment from Dr. Kitagawa and everyone at gateway Dental Care. We will discuss the finishes you want and explain what you can expect from the treatment. We make certain that you are a part of the process, and if you are interested in Lumineers to help improve your smile, you are going to learn about whether or not it is the right choice for you. We will also detail what improvements you can expect, and what finishes you will see. Getting Lumineers in Pleasanton can make a huge impact on your smile and overall oral health. Schedule your appointment with Dr. Kitagawa today.
Improve The Look Of Your Smile
You do not have to be ashamed of your smile and teeth. Dr. Francine Kitagawa and the staff at Gateway Dental Care provide a nurturing comfortable environment for your Pleasanton Lumineer procedure. With Lumineers, you can get the beautiful smile that you’ve always wanted, for an affordable price. To learn more about the care we provide, what has to be done, and what your options are when it comes to cosmetics. When it comes to improving the quality of your teeth and the look of your smile, visiting Gateway Dental Care is the first step to take for exceptional dental care. If you are looking for Lumineers in Pleasanton, CA make sure to give Gateway Dental Care call.










